آیا سرطان سینه ارثی است؟ بررسی علمی نقش ژنها در بروز بیماری

سرطان سینه یکی از شایعترین سرطانها در میان زنان است که عوامل مختلفی در بروز آن نقش دارند. در سالهای اخیر پژوهشهای علمی نشان دادهاند که ژنتیک و عوامل وراثتی سهم مهمی در ابتلا به این بیماری دارند. اگرچه سبک زندگی، تغذیه و شرایط محیطی بیتأثیر نیستند، اما نمیتوان از نقش ژنها و تغییرات DNA چشمپوشی کرد. در این مقاله به بررسی دقیق ارتباط ژنتیک با سرطان سینه و اهمیت آن در پیشگیری و درمان میپردازیم.
ژنتیک و سرطان سینه؛ ارتباطی انکارناپذیر
ژنتیک، زبان برنامهریزی بدن ماست. تغییرات یا جهشهای ژنی میتوانند عملکرد طبیعی سلولها را مختل کنند و منجر به رشد بیرویه و غیرقابلکنترل آنها شوند. در مورد این بیماری، محققان دریافتهاند که برخی ژنها بهطور مستقیم با افزایش خطر ابتلا در ارتباط هستند.
دو ژن معروف در این زمینه BRCA1 و BRCA2 هستند. افرادی که دچار جهش در این ژنها باشند، احتمال ابتلای بسیار بیشتری به سرطان سینه و تخمدان دارند. البته این تنها ژنهای دخیل نیستند؛ ژنهای دیگری مانند TP53، PTEN و PALB2 نیز میتوانند در افزایش ریسک سرطان نقش داشته باشند.
سرطان سینه ارثی چیست؟
وقتی صحبت از نقش ژنتیک میشود، بسیاری تصور میکنند اگر در خانواده کسی مبتلا بوده، حتماً همه افراد به سرطان سینه مبتلا میشوند. در حالی که این تصور درست نیست. تنها حدود ۵ تا ۱۰ درصد از کل سرطانهای سینه جنبهی ارثی دارند.
در واقع، اگر مادر، خواهر یا دختر فردی به سرطان سینه مبتلا باشند، احتمال بروز این بیماری در سایر اعضای خانواده بیشتر خواهد شد. اما وجود این سابقه بهتنهایی قطعی نیست؛ بلکه همراه با عوامل محیطی و سبک زندگی اثرگذار میشود.
چه کسانی باید آزمایش ژنتیک بدهند؟
امروزه آزمایشهای ژنتیکی کمک میکنند تا افراد پرخطر شناسایی شوند. پزشکان معمولاً انجام تست ژنتیک را برای این گروهها توصیه میکنند:
- افرادی با سابقهی خانوادگی قوی سرطان سینه یا تخمدان
- ابتلا به سرطان سینه در سنین پایین (زیر ۴۰ سال) در خانواده
- وجود بیش از یک مورد سرطان سینه یا تخمدان در نسلهای مختلف خانواده
- ابتلا به سرطان سینه در مردان خانواده
- وجود جهشهای شناختهشده مانند BRCA1 یا BRCA2 در بستگان نزدیک

فواید دانستن وضعیت ژنتیکی
تشخیص زودهنگام تغییرات ژنی میتواند فرصتهای مهمی برای پیشگیری، غربالگری و درمان هدفمند فراهم کند. به عنوان مثال:
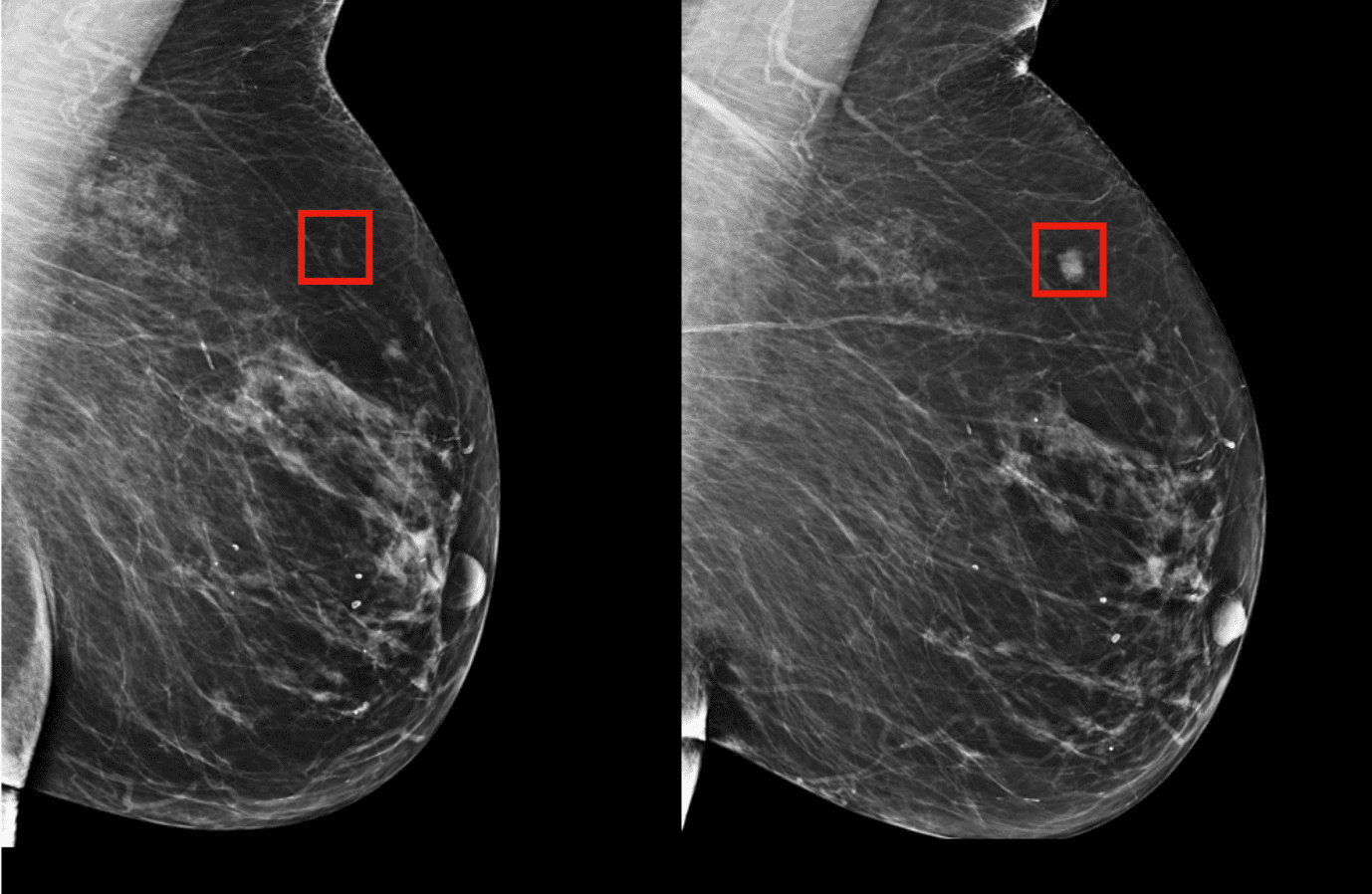
- افراد پرخطر میتوانند غربالگری منظمتر با ماموگرافی یا MRI داشته باشند.
- تغییر در سبک زندگی (تغذیه سالم، فعالیت بدنی، کاهش وزن) اهمیت بیشتری پیدا میکند.
- برخی افراد ممکن است گزینههای پیشگیرانه مانند مصرف داروهای خاص یا جراحی کاهش ریسک را انتخاب کنند.
نقش ژنتیک در درمان سرطان سینه
جالب است بدانید که شناخت تغییرات ژنتیکی تنها در پیشگیری کاربرد ندارد، بلکه در درمان هم نقش مهمی ایفا میکند. امروزه داروهای جدیدی به نام درمانهای هدفمند (Targeted Therapy) طراحی شدهاند که بر اساس جهشهای خاص ژنی عمل میکنند.
به عنوان مثال، داروهایی که برای بیماران دارای جهش BRCA تجویز میشوند، میتوانند مؤثرتر از درمانهای عمومی عمل کنند. این موضوع نشان میدهد که آینده درمان سرطان به سمت پزشکی شخصیسازیشده پیش میرود؛ یعنی درمان متناسب با ژنهای هر فرد.
آیا ژنتیک تنها عامل است؟
پاسخ قطعاً منفی است. اگرچه ژنتیک نقش پررنگی دارد، اما عوامل محیطی و سبک زندگی میتوانند تأثیر زیادی بر بروز یا جلوگیری از سرطان سینه داشته باشند. مصرف دخانیات، تغذیه نامناسب، کمتحرکی، استرس و چاقی از عواملی هستند که احتمال ابتلا را بیشتر میکنند. بنابراین حتی اگر فردی زمینه ژنتیکی داشته باشد، با رعایت نکات پیشگیرانه میتواند خطر ابتلا را تا حد زیادی کاهش دهد.
راههای کاهش خطر برای افراد با سابقه ژنتیکی
- انجام مرتب غربالگری و ماموگرافی
- تغذیه سالم و غنی از میوه، سبزیجات و فیبر
- فعالیت بدنی منظم (حداقل ۱۵۰ دقیقه ورزش هوازی در هفته)
- اجتناب از مصرف الکل و دخانیات
- مشاوره با پزشک درباره داروها یا جراحیهای پیشگیرانه

جمعبندی
ژنتیک نقش مهمی در بروز سرطان سینه دارد، اما تنها عامل نیست. شناخت تغییرات ژنی مانند BRCA1 و BRCA2 میتواند به افراد کمک کند تا با غربالگری زودهنگام و انتخاب سبک زندگی سالم، خطر ابتلا را کاهش دهند. همچنین این اطلاعات برای انتخاب درمانهای هدفمند ارزشمند است. آگاهی از وضعیت ژنتیکی، یک گام بزرگ در جهت مدیریت سلامت فردی و پیشگیری از بیماریهای جدی است.
همچنین بخوانید:



